Mission Prosthodontics
Sonoma Home
Lake County Restorations
Santa Rosa Prosthodontic Care
Mendoncino About the Office
Petaluma Meet the Staff
Dentures Implants Ceramics Contact Us

 

 

Terry L. Eggleston, DDS
Debora Rayhan, DDS
Vu Huynh, DMD

 

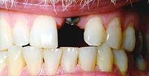
Single tooth implant

This is a case where an upper left central incisor was replaced with an implant supported porcelain crown.

Healing cap placed after implant has been uncovered. Healing cap in plance
Abutment placed on implant. implant
Temporary crown temporary crown
Permanent porcelain crown porcelain crown
Permanent porcelain crown restorations


back